AIを活用したCT診断装置のメインヴィジュアル

ディープラーニングを活用し、X線量低減と高精細画質を同時実現

AIを活用したCT診断装置

キヤノンメディカルシステムズは、ディープラーニングを用いて設計した、低線量で高精細な画像を実現する技術を開発。患者さんや医療関係者の負担を減らし、尊い命を支える医療に貢献していきます。

目次

CTとX線量の関係

多くの医療現場で活躍するX線CT診断装置(以下、CT)。 その開発においては、診断に必要な高精細画像と同時に患者さんの検査負担の軽減が求められます。
CTの画質はX線量と密接な関係にあり、X線を多く照射すれば高画質が得られますが、患者さんの被ばく量は増えてしまいます。一方、X線量を低く抑えれば被ばく量は少なくなりますが、画質が劣化するというトレードオフの関係にあります。 この課題を解決するべく、キヤノンメディカルシステムズ(以下、キヤノンメディカル)では低いX線量で高精細画像を実現するさまざまな技術を開発しています。すべてのCT装置に標準搭載されている最大で被ばく量を75%低減する「AIDR 3D(Adaptive Iterative Dose Reduction 3D)」、さらなる被ばく量低減と画質向上を可能にする逐次近似画像再構成法「FIRST(Forward projected model-based Iterative Reconstruction SoluTion)」の開発により、より少ないX線量で患者さんの被ばくを低減しながら、高精細画像を実現し、動態観察などCTの活用の幅を大きく広げています。

ディープラーニングを用いて設計したCT画像再構成技術「AiCE」

X線被ばく量低減技術の開発にゴールはありません。患者さんの負担軽減をめざして、画質改善・画像再構成技術の進化に取り組み、 2018年4月、ディープラーニングを用いて設計したCT画像再構成技術「Advanced Intelligent Clear-IQ Engine(AiCE)」(以下、AiCE)を高精細CTに搭載し、世界に先駆けて販売を開始しました。
「AiCE」は、CTのノイズを低減しながら高精細画像を得られる最新技術です。これにより、健康診断などで使用される胸部レントゲン撮影とほとんど変わらない低いX線量で、より精密な検査を可能にしました。一般的なノイズ低減処理では画像の細かい描写力が低下してしまうことがありますが、「AiCE」はCTが持つ画像の精細さを引き出しつつ、高いノイズ低減効果を実現。さらに、低コントラスト領域でも安定した画質改善が得られることが大きなメリットです。
また、一般的にCT装置の高精細画像を得るためには、画像処理に多くの時間を必要としますが、「AiCE」はディープラーニングを使って構築したニューラルネットワーク(人間の脳内にある神経細胞のつながりを模したネットワーク構造)がノイズ低減処理を行うため、短時間での画像出力を可能にし、医療現場のワークフロー改善にも貢献しています。

すべては尊い命のために

キヤノンメディカルでは、臨床現場の先生方との共同研究により装置開発を進めています。「AiCE」の製品化においてはグローバルな開発チームと最先端医療施設の医師や技師との連携により、約1年という短い期間で製品化を実現しました。
今後もディープラーニングをはじめ、最新のテクノロジーを用いた開発を積極的に推進し、患者さんや医療従事者の負担軽減を実現し、尊い命を支える医療に貢献していきます。

デジタル印刷による印刷物イメージ
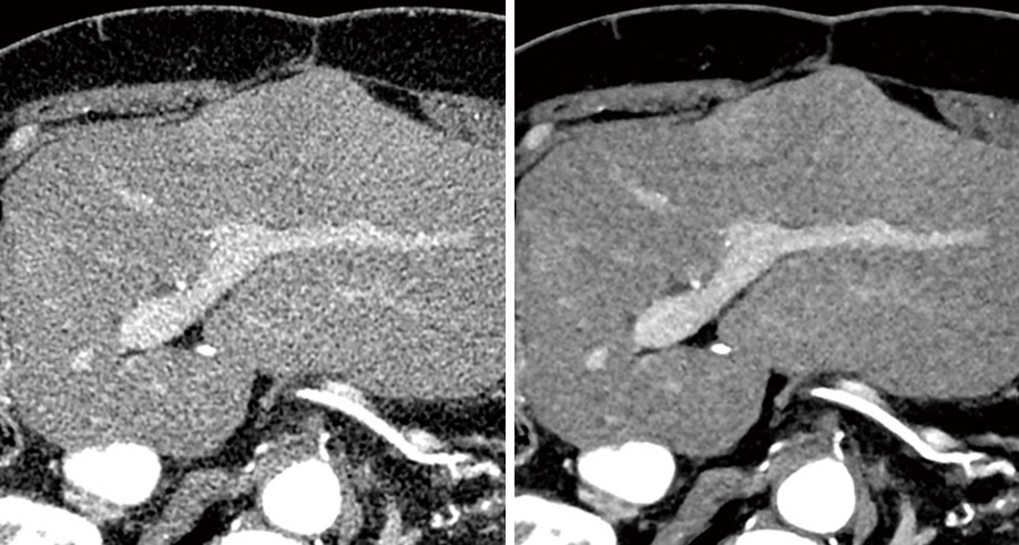
従来技術(左)とAiCE(右)の画質比較
より多くの患者さんや医療機関のメリットにつなげたい

「AiCE」の開発は、この技術をいち早く医療の現場で使っていただき、患者さんや医師の先生方の役に立ちたいという強い想いからすべてが始まり、チーム全員が他社に先駆けて世界に製品をリリースすることを強く意識していました。その結果、日本だけではなく、海外の開発拠点や国内外の臨床現場の先生方にご協力いただきながら1年という短い期間で製品化を実現することができました。臨床現場の先生方にも「診断する画像には『AiCE』は必須だ」と高く評価していただき、この開発・製品化をチームのメンバーと一緒に取り組むことができて、非常にうれしかったです。

今後もさらなる画質の向上や被ばく量低減に向け、最新の技術動向も踏まえながら、「AiCE」の改善・改良に取り組む予定です。この技術や経験を共有しながら、CT以外の医療機器にも搭載していくなど、臨床現場の先生方や世界中の患者さんに貢献できる仕事に皆で取り組んでいきます。

秋野 成臣主任ポートレート画像

キヤノンメディカルシステムズ
CT開発部 システム開発担当 主任(取材時)
秋野 成臣

  • ※ 設計段階でAI技術のひとつであるディープラーニングを用いた。導入後に自動的に学習し性能が変化することはない。