早期診断で患者さんの健康を守る超音波診断装置

新たな診断技術で脂肪肝の進行度合いを客観的評価

早期診断で患者さんの健康を守る超音波診断装置

脂肪肝の早期発見や予防に寄与する超音波診断装置。重篤な状態で発見されることを防ぐために、医師とタッグを組み、さまざまな技術開発を進めています。

目次

Profile
飯島尋子先生

飯島尋子先生

兵庫医科大学病院
超音波センター
特別招聘教授

早期発見の難しい脂肪肝を見つけ出す

食べすぎや運動不足などの生活習慣が原因で、肝臓に脂肪がたまり、肝機能の障害を起こす「非アルコール性脂肪肝疾患」が日本でも増加しています。これは、アルコールをあまり飲まない人に起こる脂肪肝で、国内に1,000万人以上いると推定されています。
自覚症状が少なく、肝硬変や肝がんといった重篤な状態で発見される事が多いため、早期の発見や予防が非常に重要になります。

兵庫医科大学病院 超音波センター 特別招聘教授 飯島尋子先生は、肝臓疾患の権威であり超音波による肝臓診断の有用性について当初から注目されていました。キヤノンは、飯島先生と共同研究を進め、いままで早期発見が難しかった初期の脂肪肝を高い精度で発見できる診断技術、Attenuation Imaging(以下、ATI)を新たに開発しました。Attenuationは、難しい単語ですが、弱まること、薄まることを意味しています。

兵庫医科大学病院外観画像
兵庫医科大学病院
飯島先生:

非アルコール性脂肪肝疾患は、進行すると肝臓が硬くなってしまい、もとの状態に戻すことは難しい病気です。初期の脂肪肝であれば、生活習慣の改善などでもとに戻したり、進行のスピードを抑えたりすることができます。そのため、早期発見が何より大事であり、キヤノンのATIならそれが可能です。

飯島先生は、早期発見が有効だと語ります。

兵庫医科大学病院超音波センターの画像
飯島先生が特別招聘教授を務める兵庫医科大学病院の超音波センター

脂肪肝の進行度を客観的に評価するATI

従来の超音波診断装置は、脂肪肝の進行度を数値化できず、画像のコントラストで判断するため、使う人の技量や装置の性能に依存していました。また、初期の脂肪肝を数値化するにはMRIなど、大がかりな検査を行う必要がありました。

飯島先生:

症状が進行し、肝細胞の30%以上が脂肪化した状態であれば、これまでの超音波診断装置でも高い確率で診断が可能です。一方、初期の5%から10%の脂肪肝は、肝臓と腎臓、脾臓と肝臓を見比べて、画像のわずかなコントラストの差で診断しなければならず、超音波診断装置に慣れた人でも判断が非常に難しいのです。

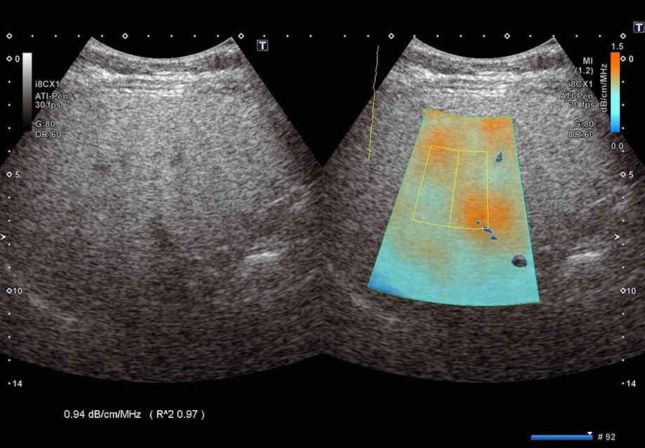
ATIによる脂肪肝診断の画像(指定された領域の超音波パルスが減少していく現象をカラーで表示。減っていく量を測定することで、数値化を実現)
ATIによる脂肪肝診断の画像
(指定された領域の超音波パルスが減少していく現象をカラーで表示。減っていく量を測定することで、数値化を実現)

2020年には診療ガイドラインが改定され、肝細胞の5%以上が脂肪化した状態が脂肪肝と定義されました。上述の通り、5%は軽度な脂肪肝なので、従来の技術で判断することはかなり困難です。そこで、多くの診療現場で活用されている超音波診断装置で、初期の脂肪肝を見つけ出す工夫やしくみが必要となってきていました。

キヤノンが開発したATIは、患者さんの身体に放射された超音波パルスが生体組織を通過する際に、吸収や拡散などにより次第に減少していく現象(以下、減衰)に着目。正常な肝細胞と脂肪化した肝細胞の減衰量を測定し、数値化することに成功しました。

長い間、キヤノンと共同開発してきた飯島先生は、ATI導入の効果についてこう語ります。

飯島先生:

ATIで脂肪肝を数値で表示できるようになったことで、経験の浅い医師や技師でも適切な判断が可能になりました。また、患者さんと数値を共有することで、生活の改善や運動の効果を実感してもらいやすくなり、患者さんのモチベーション維持にも役立っています。

先進技術を普及機にも搭載して患者さんの健康を守る

超音波診断装置は、身体を傷つけずにさまざまな病気の診断にくり返し用いることができるため、大規模な病院だけでなく、クリニックや検診施設でも活用されています。ATIは、標準の腹部用プローブ(患者さんの身体にあてるセンサー部分)で診断でき、多くの施設での普及が期待できます。

また、ATIに先行して、肝臓などの組織の硬さを測定可能な機能、Shear Wave Elastographyも飯島先生と共同開発しています。
非アルコール性脂肪肝疾患の進行が進むと肝臓が硬くなり、さらに進行することで肝硬変や肝がんになるリスクが高まるため、肝臓の硬さを知ることは重要です。
キヤノンは、早期の脂肪肝の発見を可能にするこれらの先進技術を高級機から普及機にまで搭載しています。

飯島先生は早期発見の重要性をこう語ります。

飯島先生:

ATIが搭載された超音波診断装置は、ぜひ検診施設に置いて欲しいと思っています。非アルコール性脂肪肝疾患は早く見つけることができれば治療することができます。しかし、進行して肝硬変となってしまうと有効な薬もなく完治は難しいのです。
脂肪肝は痩せている人でもかかることもあり、外見からは判断できません。特に、日本人はリスクのある遺伝子を欧米人より多くもっているといわれています。
検診やかかりつけクリニックなどで早期発見ができれば、いち早く治療を開始することができ、多くの患者さんを救うことができます。
がんの早期発見と同じくらい、非アルコール性脂肪肝疾患の早期発見も重要なのです。キヤノンの超音波診断装置は普及機をはじめ、多くのモデルにATIを搭載できるのが素晴らしいですね。

これからも現場のプロの想いに応える

飯島先生は、今後の超音波診断装置の進化について次のように期待を寄せています。

飯島先生:

キヤノンの開発者は、現場に何度も足を運んで私たち臨床医の「こうしたい」という想いに応えてくれる方がとても多いと思います。
今後、普及機の超音波診断装置では、検診施設や開業医が簡単に使え、慢性肝炎や膵がんの疑いがすぐに分かるようなサポート機能が欲しいですね。
超音波検査装置は、CTやMRIにはできないリアルタイムな診断が行えます。いまの使いやすさを保ったまま、これからもどんどん装置の診断精度を上げていって、早期発見、早期診断がより可能になる患者さんのための開発をキヤノンにお願いしたいですね。

キヤノンは、現場のプロの声に寄り添いながら、患者さんの健康を守る技術開発を進めていきます。