CT装置

X線を使って体の断面を撮影画像化する画像診断装置

CT装置

X線を使って体の断面画像を撮影し、体内にあるわずか数ミリの病変検出に力を発揮するX線CT装置。キヤノンは、被ばく量の低減や撮影時間の短縮を追求しながら、病気の早期発見と患者さんの負担軽減に貢献しています。

目次

CT装置のしくみ

進化し続けるCT装置

CT(Computed Tomography)装置は、X線を使った画像診断装置です。X線管とX線検出器が患者さんの周囲を回転して透過したX線の量から、体の断層画像を構成します。
1970年代に登場した初期のX線CT装置は、1回転ずつ、寝台に横になっている人をずらしながら何回も撮影する「ノンヘリカルCT」方式でした。断面にする位置によっては、「病変」を捉えることができませんでした。そこで、もっと高画質に撮影することをめざし、らせん状に連続撮影する「ヘリカルCT」が開発されました。さらに2000年頃から、1回転あたりの撮影枚数を増やすことで、短い時間で被ばく量も少なく、精緻な画像が得られる「マルチスライスCT」が開発されました。今では0.275秒で心臓全体を撮影できる「エリアディテクターCT」へと進化しています。

ノンヘリカルCT・ヘリカルCT・マルチスライスCTにおいて、撮影時にガントリ内のX線管と検出器の動き方が異なることが分かる比較図

撮影のしくみ

CT装置は、撮影を行うドーナツ型の「ガントリ」、患者さんをガントリの中で移動させる「寝台」、撮影のための設定や操作、画像の生成と確認を行う「操作コンソール」の3つで構成されています。

CT装置の構成を示す模式図

ガントリの内部には、X線を照射する「X線管」と、照射されたX線を情報として受け取る「検出器」が向かい合って配置されています。X線管から発せられたX線は、体を通過した後、検出器に入ります。X線の照射と、検出器での情報の受け取りを繰り返しながら、患者さんの周りを360度(1回転分)回転して、体の断面画像を撮影します。

X線管と検出器が向かい合っていることが分かるガントリ内部の構造図

ガントリ内部をX線管と検出器が高速で回転している間、患者さんを乗せた寝台が、ガントリの中央開口部をスライドすることで連続撮影が行われます。集まった画像信号は、操作コンソールに転送され、診断画像が生成されます。 検出器1回転で得られる画像の枚数(断面1スライス分)は、CTの性能を示す重要な指標です。例えば1回転で16枚(断面16スライス分)の画像を得られるCT装置は16列CTと呼ばれ、列数が多いほど、一度に広範囲を撮影できるため、検査時間の短縮が可能となります。

検出器1回転で得られる画像の枚数イメージ図
検出器1回転で得られる画像の枚数イメージ図

X線の吸収のされ方の違いでつくられるCTの画像

CT撮影は、X線を照射した際に、物体の密度や材質などによってX線の吸収のされ方が異なる点を利用しています。
X線が人体を通り抜ける際に、骨のように、硬くて高密度な部分はX線が吸収されやすく、反対に、肺など空気(空洞)がある器官や、柔らかくて密度が低い部分は、X線が吸収されにくいという違いがあります。X線が吸収されやすい部分は、照射されたX線が検出器まで届かず、一方、X線が吸収されにくい部分は、X線が検出器まで届くため、できあがったCT画像では、骨などは白く、空気などは黒く、またその中間にあたる水や筋肉、脂肪などは灰色に描出されます。画像では、隣あう組織同士のX線の吸収の差が白黒の濃度の違いとして現れるため、CT装置は、骨や肺など、水分が少なく、空気が多い部分を明瞭に撮影できると言われています。一方で、脳やせき髄、血管など、X線の吸収の差が少ない部位や、組織の区別がつきにくい部分の画像化には、磁場と電波を使うMRIが適するとされています。

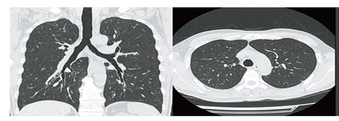
肺と胸部のCT画像
肺の画像。空気があるため黒く見える/ 胸部の画像。骨は白く、脂肪は灰色に見える

CT装置に搭載するキヤノンの技術

X線CT装置の開発においては、体内のわずかな病変を見つけるために必要な高精細化と同時に、患者さんの検査負担の軽減が不可欠です。少ない放射線量で、高い画質を得るために、キヤノンでは、「広く」、「速く」、「細かく」撮影する技術を追求してきました。

1回転で160mm幅320枚の断層画像を実現。320列CT

一度に撮影が可能な断層画像の数(マルチスライス)が増えれば増えるほど、撮影時間が短くてすみ、患者さんの負担軽減につながります。
キヤノンのCTは、320列検出器を開発し、1回転で320枚(0.5mmスライス幅)の断層画像の取得を実現しました。患者さんの体軸方向に160mmの範囲を一度に撮影できるため、心臓や脳など、体の主要な臓器全体を1回転で撮影可能です。 撮影時間の短縮だけではありません。CT撮影では、検査を受ける患者さんの呼吸や心拍などで臓器の大きさが変化したり、撮影時に動いてしまうと断面画像をシームレスにつなぎあわせた三次元画像が得られません。ガントリの回転速度を上げて、高速に撮影する技術も進化していますが、撮影する部位によっては、患者さんに何度も息をとめてもらう必要があり、特に小さいお子さんや年配の方、重症の患者さんなどには、負担となっていました。さらに、列数が少ないCTでは、一つの臓器の断層面を少しずつ撮影していくため、どうしてもオーバーラップする部分がありました。広範囲を一度に撮影できる320列CTでは、オーバーラップする部分が大幅に低減するため、X線の照射線量は従来に比べ腹部で約2割、心臓で約8割減らすことができ、被ばく線量においても患者さんの負担を軽減しています。

  • ※ 従来当社64列機種と比べた場合

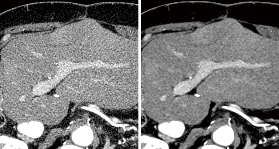
低線量撮影技術 AIDR 3D

CTの画質は、原理的には、X線量とノイズが比例する関係にあり、X線を多く照射すれば高画質が得られますが、患者さんの被ばく量は増えてしまい、X線の照射量を減らせば、画質が劣化してしまいます。
キヤノンは患者さんの負担を減らすために、X線量を低減しながら、高精細画像を取得するさまざまな技術を開発しています。その代表的な技術が、全てのCT装置に標準搭載している低線量撮影技術の「AIDR 3D(Adaptive Iterative Dose Reduction 3D)」です。投影データを収集した後に、統計学的ノイズモデルを活用して、データからノイズ成分のみを抽出。画像を再構成する際に、ノイズ成分の抽出と除去を繰り返し行うことでノイズを従来の約半分まで低減。X線の照射量を増やすことなく、高精細な画像を得られるようになりました。

従来CT画像と低線量で撮影した胸部ファントムの比較画像
低線量(3mAs)で撮影した胸部ファントム(模擬結節入り)の例
従来の再構成法では描出できなかった微細な模擬結節を明瞭に抽出。

ディープラーニング技術を応用した画像化技術「Advanced intelligent Clear-IQ Engine (AiCE)」

キヤノンでは、低線量でありながら高画質な画像を提供するために、AIDR 3D(Adaptive Iterative Dose Reduction 3D)を始め、さまざまな開発をすすめてきました。2018年には、新たにディープラーニング技術を用いた画像再構成技術「Advanced intelligent Clear-IQ Engine (AiCE)」を開発し、さらなる被ばく量の低減とノイズの低減を実現しました。 健康診断などで使用される胸部レントゲン撮影と同等水準の少ないX線量で、精細な検査を可能にしました。キヤノンのCT装置に順次搭載が進められ、検査時間の短縮による患者さんの負担軽減、高画質化による診断能力の向上に貢献しています。

  • ※ ノイズフィルタの設計段階で用いたものであり、製品搭載後に学習を続けるものではありません。
従来CT画像と低線量で撮影した胸部ファントムの比較画像
従来技術(左)と、「Advanced intelligent Clear-IQ Engine (AiCE)」(右)による画像の比較。
ざらついたノイズが低減され、高画質を実現。