がんの早期発見を支援する読影システムのメインビジュアル

患者さんの日常をいち早く取り戻し、自分らしく生きられる社会へ

がんの早期発見を支援する読影システム

がんの転移が多いとされる骨や肺。患者さんの生活の質「Quality of Life(QOL)」の維持には、早期発見と適切な治療が不可欠です。キヤノンは、これまで培ってきた画像処理技術とAI技術を活用し、京都大学とともにCTに対する新たな読影支援システムの研究を進め、医師による読影の効率化と、がんの検出率の向上をめざしています。

目次

Profile
坂本 亮先生のポートレート写真です。

坂本 亮(サカモト リョウ)先生

京都大学大学院医学研究科
リアルワールドデータ研究開発講座・放射線医学講座

がんを見逃さず、 患者さんの日常を取り戻す

近年、がん治療は大きく進歩し、生存率が向上しています。しかし、いかに治療法が進化しても、基本として重要なのは、がんの早期発見です。早期発見によって、治療による負担を最小限にし、患者さんが普段の生活リズムをいち早く取り戻せるようにすることが重要です。

がんの発見に有用なCT装置は、高精細かつ大量の画像データが得られるようになった一方で、医療従事者は、限られた時間内で膨大な画像データを読み解き、正確に診断することが求められ、その負担も増加しています。さらに、治療後の再発や転移を確認するためのフォローアップ検査など検査数も増加しており、読影の効率化が課題となっています。

  • ※読影:CTやMRIなどによって撮影された医用画像を専門医が解析し、所見などを記載したレポートを作成する業務

この課題を解決するために、京都大学大学院医学研究科とキヤノンが共同研究を進めているのが、AI技術を活用した読影支援システムです。その研究を支えてきたのは、当初より中心となって取り組んでいる坂本 亮先生の強い想いです。

坂本先生:

私たち放射線診断医の責務は、がんを見逃さず早期に発見し、一刻も早く患者さんにとって適切な治療につなげること。検査数や画像データがどんどん増えていくなかで、医療従事者の負担を軽減しつつ、早期発見によって患者さんの日常をいち早く取り戻したい。

がん診断の第一線で活躍する坂本先生の想いと、その想いに応えるキヤノンの技術により実現した読影支援システムは、臨床現場での活用がスタートしています。

CTによる早期発見が難しい骨転移の検出を支援

共同研究により実現した読影支援システムの一つが、過去と現在の画像から骨の変化を可視化する「骨領域の経時差分表示」システムです。

がんの骨転移によって運動機能が損なわれると、日常生活に大きく影響を及ぼすため、早期発見・早期治療による患者さんのQOLの維持が重要とされています。一方で、骨転移初期には症状がないことが多く、がんの治療後に定期的に行われるCTによるフォローアップ検査での早期発見が期待されています。

しかし、CTによるフォローアップ検査では、がんがあった部位や転移が多いとされる臓器、リンパ節などの確認が優先され、骨転移はなかなか気づきにくいという問題があるとされています。しかも、骨は頭から足先まで全身に多数あり、CT画像も膨大な量になります。そこで、京都大学とキヤノンが目指したのは、CT画像から骨の経時変化を可視化できるシステムです。転移の発見においては、過去と現在のCT画像を比較して、その違いを見出すことが基本となります。そのわずかな画像の違いを差分画像として表示することで、骨転移の発見を支援します。

坂本先生:

撮影機会の多いCTで異変に気づき、骨転移の早期発見につなげることが必要だと考えています。骨転移は進行すると骨破壊が起こり、社会生活を続けるのが難しくなってしまうので、小さな病変も見逃すわけにはいきません。

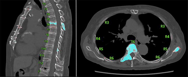
「骨領域の経時差分表示」システムのモニター画面イメージです。
過去と現在の画像を重ね合わせた画像「Fusion画像」で骨の経時変化を強調して表示する「骨領域の経時差分表示」システム(赤、青の領域が差分)

独自の位置合わせ技術で、読影の効率化を実現

差分画像を作成する上で重要となるのが、過去と現在の画像との正確な位置合わせです。CT撮影では、患者さんが毎回、同じ体型、姿勢で検査を受けるとは限らず、さらに息の吸い方一つで画像が変わってしまいます。

そこで、形状が変わる被写体の画像の位置ずれを補正する技術として、すでに医用画像や衛星画像の解析で用いられていた位置合わせ技術をCTに応用することを坂本先生が提案しました。これは、画像を変形させて位置を合わせていく方法です。まず、腰の高さや曲がり具合など明らかに過去画像と異なる骨の部位について、画像を変形させて大まかな位置合わせを行います。そのあと、体位によって変化しにくい胴体部分と変化しやすい手足など胴体以外の部分に分類し、それぞれの画像を変形させて細かく位置を合わせていきます。そして最後に、画像を統合し、残りのノイズを除去する処理を組み込み、撮影条件が異なる画像間でも骨の変化が明確にわかる差分画像を生成します。しかし、実際の臨床で用いるには、画像処理の高速化と位置合わせの高精度化が不可欠でした。

京都大学とキヤノンは、独自のアルゴリズム開発や画像処理の工夫などを重ね、撮影条件が異なる画像でも、骨の経時変化に特化した差分画像を生成する位置合わせ技術を開発しました。加えて、差分画像に脊椎や肋骨位置を表示するラベリング技術も実現。これらの技術により、病変の存在する部位の確認が容易になりました。実際にこのシステムを用いたことで、読影時間が3分の1に短縮されたケースが報告されています。

京都大学では臨床現場への導入から約1年が経過し、坂本先生はこう話します。

坂本先生:

骨転移の検出は、以前に比べると格段に容易になったという印象があります。ほかの医師からは、差分画像から一目で骨転移がないことを確認でき、安心感につながるという声もあり、読影時間の短縮に加え、医師の心理的な負担を軽減できるのではないかと考えています。

脊椎・肋骨のラベリングのモニター画面イメージです。
脊椎・肋骨のラベリング

肺がんが疑われる肺結節の経時変化の確認をサポート

肺は、がん転移の発生頻度が高い臓器です。呼吸を司る肺への転移は、患者さんの生命に大きな影響を与えます。しかし、転移が疑われる肺結節(肺組織内の小さな影)は、小さな病変では見つけにくく、大きな病変であっても領域によっては肺結節の判断が難しいケースがあるといわれています。一方で、結節は大きくなるほど、がんである可能性が高まるため、結節の変化を経時的に観察することが重要です。実際の読影では、過去と現在の画像を並べ1枚1枚比較しますが、呼吸による変動で肺の形状が変わるため、位置を修正しながら比較する必要があり、時間と手間を要するだけではなく、病変の見落としに対する医師の心理的負担なども大きな問題になっています。

そこで、京都大学とキヤノンでは、骨領域の読影だけでなく、肺の読影を支援するシステムの研究にも取り組み、実現したのが「関心領域比較機能」です。胸部CTの撮影データから、AI技術を活用した解析処理により肺野領域の組織における特徴的な関心領域を抽出し、そのサイズと体積を測定する既存の技術に、キヤノン独自の高度な位置合わせ技術を組み合わせました。これにより、過去と現在の画像を並べて表示し、抽出された肺の関心領域を経時的に紐づけ、サイズの変化などを一目で比較することができるようになりました。

「関心領域比較機能」のモニター画面イメージです。
高度な位置合わせにより現在の検査画像と過去の検査画像の関心領域を自動的にペアリングし、サイズの変化を分かりやすく表示する「関心領域比較機能」

早期発見により、患者さんのQOLが向上する社会をつくる

1秒たりとも無駄にできない医療現場で読影支援システムが広く活用されるためには、より迅速なリアルタイム応答が求められます。

坂本先生:

これからも、キヤノンと探索的にアイデアを出し合い、システムを進化させていきたいです。読影支援システムの活用により、病変を早期発見し、患者さんがより早く、適切な治療の選択ができるように導くことができます。それが患者さんの予後改善や、QOLの向上にもつながります。

キヤノンはこれからも京都大学とともに、がん患者さんが自分らしく生きられる社会をめざして、現場の声に応えながら技術を磨き続けます。

  • ※AIは設計段階で使用しており、自己学習機能はありません。
  • ※ソフトウェアが骨転移や肺結節を判断するものではありません。
  • ※臨床的なコメントについては医師の判断に基づきます。