Creating a society in which cancer patients can quickly resume their daily activities and enjoy their lives as they wish
Image Reading Support System to Assist in the Early Detection of Cancer
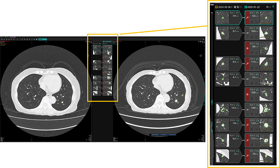
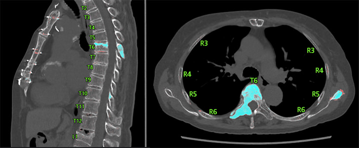
The bones and lungs are common regions for the spread of cancer metastases. Early detection and appropriate treatment are essential to maintain the patient's quality of life (QOL). In partnership with Kyoto University, Canon has been conducted research in a new CT image reading support system based on advanced image processing and AI technologies it has developed over the years. The goal of this work is to increase the efficiency of image reading performed by physicians and thus improve detectability of cancer.
November 25, 2025



